Problems with Removable Partial Denture

Problems with Removable Partial Denture

Jul 31, 2009. #1. and it looks great. I have the pretty smile I wanted. However, I feel like I have a great big lump of plastic in my mouth and am just hoping someone can tell me that you do get used to it. Also, I took it out to clean today as advised after 24 hours.. Getting partial dentures can help you fill the gap, making your life easier and more comfortable.. Once you decide to get partial dentures for lower front teeth, your dentist would need a few impressions of the oral cavity. They may also measure your jaw to understand how it sets together. Once they have the information, they can start.


Problems with Removable Partial Denture

‘s Smile Gallery New upper partial denture


Flexible Partial Dentures Dental Lab Direct

Flexible Partial Dentures Dental Lab Direct


Partial Dentures Permanent Teeth Replacement Western

Partial Dentures Permanent Teeth Replacement Western Canada


5 Ways Teeth Straightening Improves Your

5 Ways Teeth Straightening Improves Your Oral Health Kelmscott Dental


Smile Spotlight Erin Restore Missing Tooth

Smile Spotlight Erin Restore Missing Tooth with Dental Implant & Crown


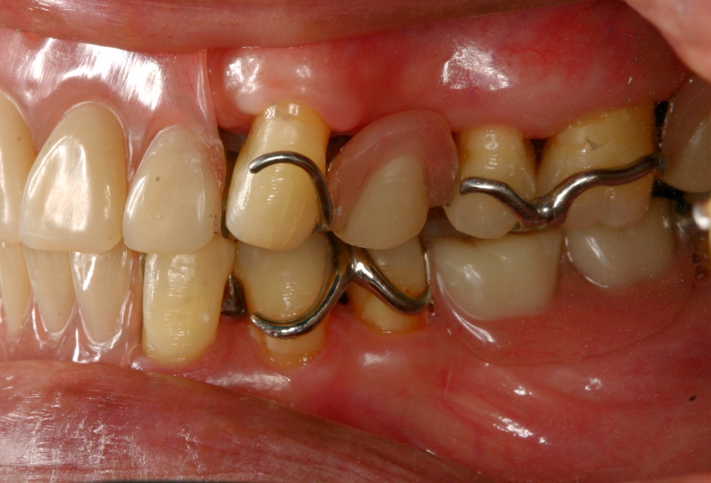
Cobalt Chrome Partial Dentures Gold Coast

Cobalt Chrome Partial Dentures Gold Coast Costs & Info


Front Teeth Partial Dentures Changed My

Front Teeth Partial Dentures Changed My Life Healthy Living


Partial Dentures Piedmont Dental Associates

Partial Dentures Piedmont Dental Associates


Partials in Southaven, MS Desoto Dentures

Partials in Southaven, MS Desoto Dentures and Implants Partials in 38671


4 Types of Partial Dentures Available

4 Types of Partial Dentures Available with Online Dental Labs Dental Lab Direct


Full Dentures in Edison, NJ Partial

Full Dentures in Edison, NJ Partial Dentures Newark Gentle Dental Care


Partial Dentures (plates)

Partial Dentures (plates)


Pictures Of Partial Dentures Front Teeth

Pictures Of Partial Dentures Front Teeth Hafidhandris


1whatdoesaupperandlowermetaldentureswithgoldclipslooklike

1whatdoesaupperandlowermetaldentureswithgoldclipslooklike


Cast Partial upper denture

Cast Partial upper denture


Oligodontia Studio Dentaire

Oligodontia Studio Dentaire


What are My Tooth Replacement Options?

What are My Tooth Replacement Options?


Affordable Partial Dentures in Brooklyn, NY

Affordable Partial Dentures in Brooklyn, NY (718) 4854111


3case1metalupperpartialdentureinmouth

3case1metalupperpartialdentureinmouth


Partial Dentures (plates)

Partial Dentures (plates)

At Dentures by Dental World we provide a complete denture service in a friendly and caring The teeth you made for me are just fantastic and you don’t know how much my life has changed. Partial dentures will last approximatley 5-10 years depending whether they are replacing front or back teeth.. Partial dentures are removable dental appliances designed to replace one or more missing teeth. When it comes to the front teeth, their aesthetic significance is undeniable, making the restoration process especially crucial. In this article, we’ll explore the journey of individuals who have undergone the journey of partial dentures for front teeth, highlighting the Partial Dentures Front Teeth.

Related Posts